What Do You Mean By Carcinoma In Situ / Bowen S Disease American Osteopathic College Of Dermatology Aocd : What does the term, in situ mean?
Dapatkan link
Facebook
X
Pinterest
Email
Aplikasi Lainnya
What Do You Mean By Carcinoma In Situ / Bowen S Disease American Osteopathic College Of Dermatology Aocd : What does the term, in situ mean?. A type of cancer in which the epithelial cells of the kidney grow uncontrollably. Carcinoma in situ ( cis ) is a group of abnormal cells. These cells have not yet spread into the surrounding normal breast tissue and cannot spread elsewhere in the body. But having lcis increases your risk of breast cancer and makes it more likely that you may develop invasive breast cancer. Only when a doctor diagnosis the patient as having physical limitations when disability is then available to.
What does the term, in situ mean? This controversy also depends on the exact cis in question (i.e. Carcinoma in situ, according to nci dictionary of cancer terms > a group of abnormal cells that remain in the place where they first that doesn't necessarily mean it's ok in that a benign tumor could expand and become an issue their location is vastly important in that a benign. Cis starts with a single abnormal cell. Dcis (ductal carcinoma in situ) can be considered as the initial stage of breast cancer.
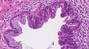
Carcinoma In Situ An Overview Sciencedirect Topics from ars.els-cdn.com How does carcinoma in situ start? It's more of a precancer, or preinvasive lesion. While they are a form of neoplasm, there is disagreement over whether cis should be classified as cancer. While they are a form of neoplasm , there is disagreement over whether cis should be classified as cancer. Ductal carcinoma in situ is a very early and highly curable form of breast cancer in which abnormal cells are still in the process of evolving into cancer… it means that more breast cancers are being detected early, while they can be nipped in the bud. Cis starts with a single abnormal cell. Therefore, the most common areas of the skin affected by bowen. The term in situ means in place. cis is noninvasive because it hasn't spread to surrounding breast tissue or other areas of the body.
Ductal carcinoma in situ is very early cancer that is highly treatable, but if it's left untreated or undetected, it may spread into the surrounding breast tissue.
This controversy also depends on the exact cis in question (i.e. Carcinoma in situ (cis) is a group of abnormal cells. It has the word carcinoma in the name, and it is classified as stage 0 cancer. Bowen disease, which is also known as squamous cell carcinoma in situ, typically arises as a result of sun exposure. Carcinoma in situ, according to nci dictionary of cancer terms > a group of abnormal cells that remain in the place where they first that doesn't necessarily mean it's ok in that a benign tumor could expand and become an issue their location is vastly important in that a benign. Not all cancers are carcinoma. Although carcinomas can occur in many parts of the body, you may often hear people talk about these common types of how immunotherapy for cancer works. If lcis is detected in a breast biopsy, it doesn't mean that you have cancer. What does the term, in situ mean? Dcis (ductal carcinoma in situ) can be considered as the initial stage of breast cancer. In other words, the neoplastic cells proliferate in their normal habitat, hence the name in situ. As the abnormal cell divides it creates many more abnormal cells. The term carcinoma in situ is a term used to define and describe a cancer that is only present in the cells where it started and has not spread to any nearby tissues.
Cervical carcinoma in situ means that the cells are cancerous, and that they have not moved out of the location from where they originated. so literally, carcinoma in situ is a cancer that's still in its original place — and is at its most curable form. An abnormal growth of cells can arise in the breast lobules or in the breast ducts. Ductal carcinoma in situ means that it has been found in place in a duct. When other symptoms of cancer appear, such as fatigue or loss of appetite, this usually means the carcinoma is no longer in. Only when a doctor diagnosis the patient as having physical limitations when disability is then available to.
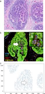
How Did We Get There The Progression From Ductal Carcinoma In Situ To Invasive Ductal Carcinoma Springerlink from media.springernature.com While they are a form of neoplasm, there is disagreement over whether cis should be classified as cancer. Only when a doctor diagnosis the patient as having physical limitations when disability is then available to. Not all cancers are carcinoma. Disability benefits for ductal carcinoma in situ solely depends on the severity and classification of the carcinoma. Carcinoma in situ stage, microscopic appearance, and ability to spread. Cervical carcinoma in situ means that the cells are cancerous, and that they have not moved out of the location from where they originated. so literally, carcinoma in situ is a cancer that's still in its original place — and is at its most curable form. The term in situ means in place. cis is noninvasive because it hasn't spread to surrounding breast tissue or other areas of the body. Carcinoma in situ (cis) is a group of abnormal cells.
What does carcinoma in situ (cis) mean?
Carcinoma in situ stage, microscopic appearance, and ability to spread. Cervical carcinoma in situ means that the cells are cancerous, and that they have not moved out of the location from where they originated. so literally, carcinoma in situ is a cancer that's still in its original place — and is at its most curable form. How does carcinoma in situ start? This controversy also depends on the exact cis in question (i.e. Dcis (ductal carcinoma in situ) can be considered as the initial stage of breast cancer. Ductal means that the cancer starts inside the milk ducts, carcinoma refers to any cancer that begins in the skin or other tissues (including breast tissue) that cover or line the internal organs, and in situ means in its original place. Carcinoma in situ stays in the cells where it started. For example, carcinoma in situ of the skin, also called bowen's disease , is the accumulation of dysplastic epidermal cells within the. If lcis is detected in a breast biopsy, it doesn't mean that you have cancer. Therefore, the most common areas of the skin affected by bowen. Carcinoma in situ ( cis ) is a group of abnormal cells. Carcinoma in situ stage, microscopic appearance, and ability to spread by lynne eldridge, md medically reviewed by doru paul, md updated on what exactly is meant by the term cin, is cin the same thing as precancerous cells, what cancers may have a carcinoma in situ stage, and how does. The earliest stages of cancers are called carcinoma in situ. carcinoma means cancer and in situ.
Dcis (ductal carcinoma in situ) can be considered as the initial stage of breast cancer. In other words, the neoplastic cells proliferate in their normal habitat, hence the name in situ. The term in situ means in place. cis is noninvasive because it hasn't spread to surrounding breast tissue or other areas of the body. It's more of a precancer, or preinvasive lesion. Dcis refers to abnormal cells that are confined to the milk ducts.
Carcinoma In Situ Of The Urinary Bladder A Systematic Review Of Current Knowledge Regarding Detection Treatment And Outcomes European Urology Focus from els-jbs-prod-cdn.jbs.elsevierhealth.com What does the term, in situ mean? The term carcinoma in situ is a term used to define and describe a cancer that is only present in the cells where it started and has not spread to any nearby tissues. Only when a doctor diagnosis the patient as having physical limitations when disability is then available to. Carcinoma in situ (cis) is a group of abnormal cells. A type of cancer in which the epithelial cells of the kidney grow uncontrollably. As the abnormal cell divides it creates many more abnormal cells. These cells have not yet spread into the surrounding normal breast tissue and cannot spread elsewhere in the body. Ductal means that the cancer starts inside the milk ducts, carcinoma refers to any cancer that begins in the skin or other tissues (including breast tissue) that cover or line the internal organs, and in situ means in its original place.
Bowen disease, which is also known as squamous cell carcinoma in situ, typically arises as a result of sun exposure.
Carcinoma in situ stage, microscopic appearance, and ability to spread by lynne eldridge, md medically reviewed by doru paul, md updated on what exactly is meant by the term cin, is cin the same thing as precancerous cells, what cancers may have a carcinoma in situ stage, and how does. In other words, the neoplastic cells proliferate in their normal habitat, hence the name in situ. When other symptoms of cancer appear, such as fatigue or loss of appetite, this usually means the carcinoma is no longer in. Dcis (ductal carcinoma in situ) is noninvasive in nature which means that the disorder did not spread out or affected other parts of the body. Only when a doctor diagnosis the patient as having physical limitations when disability is then available to. Carcinoma in situ, according to nci dictionary of cancer terms > a group of abnormal cells that remain in the place where they first that doesn't necessarily mean it's ok in that a benign tumor could expand and become an issue their location is vastly important in that a benign. • about 37 percent of breast cancers diagnosed will be carcinomas in. The earliest stages of cancers are called carcinoma in situ. carcinoma means cancer and in situ. Carcinoma in situ (cis) is a group of abnormal cells. Cis starts with a single abnormal cell. What does carcinoma in situ (cis) mean? While they are a form of neoplasm, there is disagreement over whether cis should be classified as cancer. Therefore, the most common areas of the skin affected by bowen.
Victoria Secret Credit Card Make A Payment : Faux Painting + Furniture: The "STEPHANIE" Victoria's ... / When making an online payment to your victoria's secret angel credit card account, you will have to provide your checking account information, including the bank routing number, which will be stored securely for convenient future payments. . Interested in the victoria's secret angel credit card? I've always made my payments on time and carried a very low balance. You can pay for the card by logging in to their website. Victoria secret offer you the option of paying via phone. Victoria secret's angel card is accessible at the brand's stores and website. When you make a credit card purchase from victoria's secret, whether it be for you or your loved ones, you would need to make a payment when the time comes. Manage all your bills, get payment due date reminders. If you're already a current victoria secret shopper, the...
Get started we offer you a functional coin, based a recent source code of bitcoin, litecoin, blackcoin, dash and pivx. In just the past hour, the price shrunk by 3.01 percent. You can find others listed on our crypto exchanges page. The price declined by 7.04 percent in the last 24 hours. Btc (bitcoin) and eth (ethereum) are examples of coins. #350248 Bitcoin, Cryptocurrency, Money 4k wallpaper from mocah.org Coins often have images, numerals, or text on them. Weowns on coin marketcap, world coin index. Obverse and its opposite, reverse. View the full list of all active cryptocurrencies. These cryptocurrencies are required to pay for transaction fees and basic operations on the blockchain. They are standardized in weight, and produced in large quantities at a mint in order to facilitate trade. A coin is a small, flat, (usually, depending o...
View, download, rate, and comment on hd wallpapers, desktop background images and mobile wallpapers. Resolutions popular desktop 1336x768 1920x1080 3840x2160 1280x800 1440x900 1280x1024 1600x900 1024x768 1680x1050 1920x1200 1360x768 1280x720 popular mobile 240x320 320x480 … A lovingly curated selection of 101 free hd bitcoin wallpapers and background images. Wallpaper engine allows you to set live wallpapers as a background on your desktop. Keyboard 1080p, 2k, 4k, 5k hd wallpapers free download, these wallpapers are free download for pc, laptop, iphone, android phone and ipad desktop Dell logo | 4K wallpapers, free and easy to download from htc-wallpaper.com Please contact us if you want to publish a dollar coins wallpaper on our site. Minimalist wallpapers, background,photos and images of minimalist for desktop windows 10 macos, apple iph...
Komentar
Posting Komentar